Dental Crowns
Damaged or decayed teeth are unhealthy and can cause serious discomfort. They also make it difficult to chew and speak. A dental crown covers a damaged tooth, restoring health to your smile. Crowns look so realistic they even have cosmetic applications.
Learn why people in San Diego, CA, trust Dr. Daniel Stragier of Balboa Dental Care for their crowns during a free consultation.
"I come down from Northern Idaho
and still see Dr Stragier and his wonderful staff."
A San Diego Dentist
That Patients Trust
Great dentist office. The dentist, receptionist, and dental assistant were very nice and professional. Office is clean and there is plenty of parking. Prices are fair.
View on GoogleI come down from Northern Idaho and still see Dr Stragier and his wonderful staff. It’s because I trust him and love talking to his staff.
View on GoogleProtect Your Teeth With Dental Crowns
An Update on a Time-Tested Solution State-of-the-Art Materials

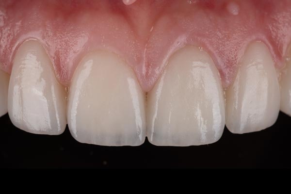
Zirconia Crowns Durable and Beautiful Restorations

Stronger Than Traditional Porcelain
Tooth-colored crowns were often crafted from porcelain, but advances in materials have resulted in zirconia and lithium disilicate crowns. We use zirconia almost exclusively when crafting custom crowns. At the moment, zirconia is the strongest non-metallic restoration material.

Bacteria-Resistant and Biocompatible
Some patients have a metal allergy, which disqualifies them from receiving metal-based restorations. Zirconia is a durable composite material that will not trigger an allergic response to metals. The material is also bacteria-resistant, which can help promote good oral health.

Results Look Like Natural Teeth
Zirconia is virtually indistinguishable from natural teeth, blending in seamlessly with the rest of your smile. Dr. Stragier will take extra time at no additional charge to ensure your crowns are color-matched to your front teeth. This means extremely strong restorations that look pristine.
Want to Learn More About Dental Crowns? Contact Balboa Dental Care
If you are in need of a crown, Balboa Dental Care is here to help you. Our friendly dentistry practice has been helping patients in the greater San Diego area for over 30 years.
Dr. Daniel Stragier is a compassionate dentist who focuses on the individual needs, concerns, and goals of each patient. He is proud to be affiliated with:
- The Academy of General Dentistry
- The San Diego Implant Study Club
To schedule a free consultation, contact Balboa Dental Care online or call our San Diego, CA, dental office at:
(858) 541-1844

Five-Star Patient Reviews An Experienced San Diego Dentist
Everything was great as usual. I really feel good about your care for my teeth. Thanks
View on GoogleDr Stragier and the team are great! Very professional and caring. I highly recommend them.
View on GoogleHow a Dental Crown Works The Basics and the Benefits
Protecting a Tooth
While compromised tooth structure is removed to place a crown, the dentist leaves a good portion of the healthy tooth. This remaining tooth structure is what the crown covers. Crowns prevent teeth from needing to be extracted and protect compromised teeth from further harm.
Relieving Pain
Severely damaged teeth are often sensitive or painful. The acute tooth sensitivity is usually triggered by hot and cold temperatures or pressure from biting and chewing. A dental crown relieves tooth sensitivity, allowing patients to eat, drink, and speak comfortably.
Restoring Function
In addition to being painful, fractured teeth are at risk of experiencing further damage. People often avoid biting or chewing with a fractured tooth. By placing a durable crown on a damaged tooth, our dentist can restore bite strength and your ability to eat solid, nutritious foods.
The Cost of Dental Crowns Affordable Care for San Diego, CA
Dental crown treatment typically costs between $1,200 and $2,000 at our dental office in San Diego. Costs can vary based on the material used for the crown and the severity of the tooth damage that has to be treated. Dr. Stragier regularly reviews the prices of other dentists in the San Diego area to ensure that our prices remain competitive yet affordable.
Balboa Dental Care works with most dental insurance providers. We also accept payment plans for major work, including plans with 0% financing for 12 months. We try our best to make sure that cost never stands between our patients and the dental treatments they need.
Other Applications for Dental Crowns In Restorative and Cosmetic Dentistry
Crowns and Cosmetic Dentistry
While crowns are typically considered a restorative procedure, they are also used in cosmetic dentistry. Damaged teeth can be strengthened with zirconia, porcelain, or other tooth-colored materials. If you have a tooth that is small or unevenly shaped, a crown can be placed on the flawed tooth to achieve better overall symmetry. These restorations can also be used as a sturdier alternative to porcelain veneers. An aesthetic crown can cover an intrinsically stained tooth that cannot be bleached with teeth whitening.
Crowns and Root Canals
Caused by untreated tooth decay and fractures, a root canal infection occurs when oral bacteria reaches the dental pulp (soft tissue) located within a tooth. An abscess may form and the infection could spread to other parts of the mouth. Rather than extracting infected teeth, a dentist may recommend a root canal. The root canal procedure involves the removal of diseased pulp from infected teeth and the sterilization of the pulp chamber. The chamber is then filled with an inert material. A crown is used to cap the treated tooth.
Crowns and Dental Implants
If you are missing a single tooth or individual teeth in different parts of the mouth, Dr. Stragier may recommend dental implants. These artificial tooth roots are surgically embedded into the jaw. Over time, the implants fuse with the bone. This process is known as osseointegration, and it takes several months to complete. When the implant site has healed, the post can support a dental crown. The crown fills the gap and blends in with your natural teeth. The stability of an implant-supported crown cannot be matched by traditional bridgework.
"Everyone is nice and caring at Balboa Dental."
What San Diego Patients Say
About Our Practice
I have been fearful of dentists my entire life.Balboa dental care was the most satisfying experience. My past experiences with dentists was very unpleasant and painful.I recommend them for dental care and I and my family will continue to use them and no others. A well deserved 5 stars. Thank you Balboa dental care.
View on GoogleEveryone is nice and caring at Balboa Dental Care. I had a cavity filled and two crowns to repair two broken teeth. One crown was to repair a broken permanent tooth that had come in at an angle. Dr. Stragier shaped the tooth and placed the crown to make it look like an upright regular tooth. Everything was smooth, calming, and relaxing. Thanks everyone!
View on GoogleFind Out If Dental Crowns Are Right for You Contact Dr. Daniel Stragier
Dental crowns have numerous benefits for people who have severely decayed or damaged teeth. They may be just what you need to rehabilitate your oral health. To speak with Dr. Stragier about dental crowns, message our team or call our office in San Diego, CA, at:
(858) 541-1844
The Dental Crown Timeline Step by Step
All consultations at Balboa Dental Care are free of charge.
Questions About the Dental Crown Procedure? Ask Dr. Stragier and His Experienced Team
While dental crowns provide several benefits, we understand if you still have some concerns you’d like to address before committing to the procedure. We can answer any questions you may have about dental crowns, the procedure, financing, and more.
You can request a consultation, submit your questions directly, or call our San Diego office at:
(858) 541-1844

"Dr. Stragier is the absolute best." A San Diego Dentist with a Loyal Patient Base
Dr Stragier is the absolute best. He is gentle, honest, experienced, and he KNOWS his stuff. After 10 years of great care, I tried a dentist closer to my home, but I came back, because Dr Stragier is worth the drive. His staff is also amazing. I’d give them 10 stars if I could!
View on GoogleThey did a great job. I was very happy with all the work performed. I am very thankful for the professionalism at this office.
View on GoogleHow to Care For Your Temporary Crown
While your custom crown is being crafted, we'll place a temporary crown to cover your treated tooth in the meantime. Here are some tips to help take care of your temporary crown as you wait:
- Practice good hygiene and brush gently around the crown
- Try to chew with the side of your mouth opposite the crown
- Avoid sticky, hard, sharp, very hot, and very cold foods
- Pull floss out horizontally from between your teeth to avoid dislodging the crown
Sedation Dentistry Can Eliminate Anxiety
A Comforting Experience
At The Dentist's Office
If you suffer from anxiety about dental visits and are nervous about getting a crown, our team can put you at ease. We offer different levels of sedation, which can help patients achieve a relaxed state. Sedation can be used in combination with the numbing effects of local anesthesia to provide a comfortable patient experience.
Balboa Dental Care offers two main types of sedation:

Nitrous Oxide
Nitrous oxide, also known as “laughing gas,” is a light sedation option that works instantly to help calm your nerves. The effects wear off almost immediately so you can still drive home after treatment.

Oral Sedation
Oral sedation can vary in strength and is taken as a pill a few hours before the procedure. For this sedation, you will need someone else to drive you home.
Thanks to these sedation methods, you'll be able to undergo the treatment you need without any fear or stress. It's one of many things we do to make each visit a comforting and welcoming experience.
Discuss Your Sedation Options During a Free Consultation
Don’t let anxiety come between you and a functional smile.
If you have dental anxiety or a condition that makes it difficult to sit through a procedure, then our sedation techniques may be a good choice for you. Dr. Stragier and his staff can answer your questions about sedation and find the option right for you.
Discuss your sedation options with Dr. Stragier during a free consultation, submit your questions through our contact form, or call our San Diego office at:
(858) 541-1844

Frequently Asked Questions About Dental Crowns
Does a crown protect your teeth from decay?
A dental crown can certainly protect the exposed portions of your teeth and prevent further damage, but they do not make your teeth impervious to decay. The gums and roots of your natural tooth are still susceptible to bacteria, which is why practicing good hygiene is just as important after receiving a crown.
What happens if you wait too long to get a crown?
In many cases, a dental crown is the last line of defense against tooth extraction. While we do everything in our power to save your tooth, sometimes an extraction is necessary to prevent the decay from spreading to other teeth.
How do you tell if a crown is not fitted properly?
The biggest indicator that a crown is loose or needs adjustments is if it feels uncomfortable in your mouth. A new crown takes around a week to get used to, but if it still doesn’t feel natural or prevents you from fully biting down, then you should contact our practice.
Are there alternatives to dental crowns?
No, crowns have a distinct function that other dental treatments cannot match. Inlays and onlays can replace a moderate amount of compromised dental tissue, but they cannot treat the extensive damage that a dental crown can. Likewise, bridges and dentures can replace missing teeth, but can't save your natural tooth from being extracted.
"I have never loved a dentist office more!"
Glowing Reviews From
the San Diego Area
I have never loved a dentist office more! Everyone is soooooo nice! Kelsey is the best hygienist I have ever had. You don’t even know the Doctor is working on you he is so gentle! Terri is the fabulous office manager and takes care of everything !
View on GoogleI have been coming here for years. I moved away from San Diego, but I like this dental office so much that I came back for an appointment. Everyone is very professional, honest and courteous, and I feel that I always get a very good cleaning. I also like the fact that the office does not push cosmetic treatments that you don't need.
View On Google





